赤坂駅徒歩2分のセラミック治療実績の多い歯科医院 AKASAKA CREER DENTAL CLINIC

口元の自信があなたを変える

安心の長期保証

口元になじむ 自然な
仕上がり

高い適合精度を
目指した
精密な治療

セラミック治療
実績3,000件以上
経験豊富な
医師が担当

※2016年~2025年実績

口元をキレイにしたい
自信を持って笑いたい
だけど・・

こんな理由でためらっていませんか?

  • 費用が高そうで、決断できない
  • 痛みや通院の負担が怖い
  • なんども再治療したくない
  • 失敗したくない・後悔したくない
  • どこで相談すればいいか分からない

そんなあなたに

まずは、当院のセラミック治療
治療実績をご覧ください。

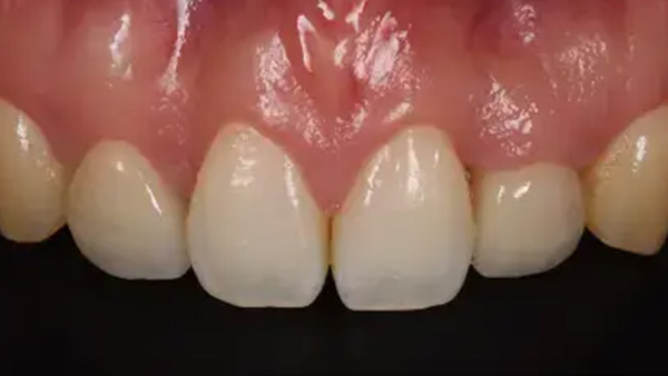
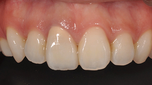
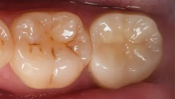
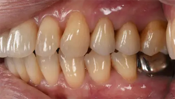
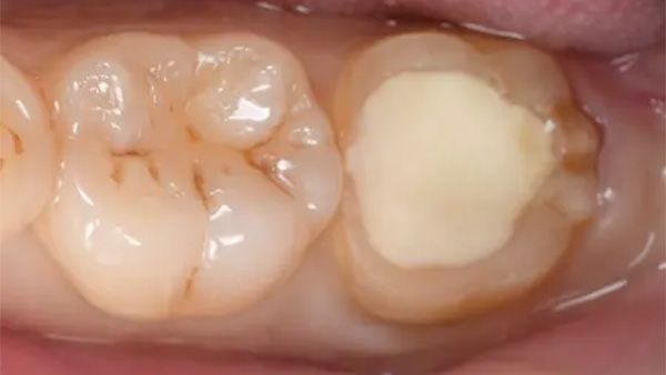
高い適合精度と生体親和性を追求した 当院の『セラミック治療』

安心の長期保証

セラミック治療は保険が適用されないので、どうしても保険適用であるレジン素材などよりも費用が高くなってしまいます。だからこそ長く使えるかな?すぐに割れたりしないかな?などの不安だと思います。当院ではそのような不安を少しでも解消していただくために、安心の保証制度を設けています。通常使用でセラミックの破損や脱落、不適合が生じた場合の修正・再装着・再製作を無償で行います。

素材特性を生かした、
精密で長持ちするセラミック治療

抗菌性生体親和性、そして低劣化性といったセラミック素材の特長を最大限に活かした治療を行うことで、二次カリエス(虫歯)や歯周病のリスクを軽減することが可能に。
近年では審美性のためだけではなく、健康維持や予防のためにセラミック治療を選択する機会が増えています。
ジルコニア、ガラス系セラミック、長石系セラミックなど様々なセラミック材料から治療部位や患者様の口腔状態に適した素材を提案します。

"キレイ"なだけじゃ終わらない。
健康のためのセラミック治療

"見た目がキレイ"はセラミック治療における最低限の目標です。
当院では高い適合精度を追求し、すべてのステップにおいて丁寧な治療を心がけています。高倍率スコープに使用、支台歯形成時や印象採得時の歯肉圧排、高精度シリコン印象材の使用、高品質レジンセメントによる接着など、高い目標を達成するために最善を尽くします

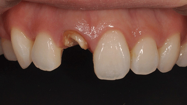
あなたのお悩みはなんですか?

  • 前歯、奥歯が欠けた
  • 前歯の変色・縞模様
  • 根本の黒ずみ
  • 被せ物、差し歯が馴染んでいない
  • 詰め物の中でむし歯が進行していた
  • 銀歯の色が気になる、銀歯が劣化した
  • 仮歯のまま放置している

一つでも該当する方は、
ぜひ一度ご相談に
いらしてください。
当院は、様々なお悩みに対しての豊富な治療実績がございます。

私たちのセラミック治療は、
「色」「形」「かみ合わせ」 のすべてを
一人ひとりに合わせて丁寧にデザインします。

顔のバランスや歯並びに調和した自然な見た目を目指し、まずは仮歯を使って色味や形、噛み心地などを一緒に確認しながら進めていきます。

実際に鏡で見ていただきながら微調整を行い、納得いただける“理想の仕上がり”を一緒に作っていきます。

ご希望や不安な点も、その都度お伺いしますので、
どんなことでも遠慮なくご相談ください。

ぜひ一度、ご相談にお越しください
お見積もりは無料です

審美・セラミック治療なら 赤坂クレール歯科クリニック

東京都港区赤坂5丁目5-9
千代田線赤坂駅7番出口から徒歩2分

診療時間
9:30-13:00
14:00-20:00

※金曜日は18:00まで

初診WEB予約

電話で予約

現在、予約が取りにくくなっております。
web上で予約枠がなくても、お電話いただければできる限り調整させていただきます。
ご希望の時間枠が空いていない場合は一度お電話ください。

でも、相談にいくのは
やっぱり勇気が・・

  • 費用が高そうで、決断できない
  • 痛みや通院の負担が怖い
  • なんども再治療したくない

実際、「無理に勧められて断れなかった」というお声は多いです。
また、当院にご相談に来られる方の中には、他院で高額なセラミック治療をしたにも関わらず
・思うような結果にならなかった
・かみ合わせに違和感がある
などの理由で再治療に来られる方も珍しくありません。

赤坂クレール歯科クリニックからの 3つのお約束

01

無理な勧誘は一切しません!

セラミック治療は、決して安価な治療ではありませんので、最終的には患者様ご自身にご決断いただきます。もちろん、メリットやデメリット、治療の流れや料金など、ご理解いただけるまでしっかりとご説明いたします。不安なことはそのままにせず、気軽になんでもご相談ください!

02

万が一の時も安心の保証

セラミック治療は見た目の美しさだけでなく、長く快適に使えることが大切です。しかし、「高額な治療なのに、すぐ欠けたり取れたりしないかな…」と不安に思われる方も少なくありません。

赤坂クレール歯科クリニックでは、そうした患者様のご不安を解消するために、一定期間の保証制度を設けています。 これは、当院の治療技術と品質に自信があるからこそ実現できる仕組みです。

保証期間中に通常のご使用で万が一トラブルが生じた場合は、状態を確認のうえ、無償で修理・再製作を行います。 治療後も安心して笑顔でお過ごしいただけるよう、「治して終わり」ではなく「長く守る」医療を心がけています。

03

セラミック治療経験の
豊富な医師が
責任を持って
担当いたします!

院長 吉田 敦実

略歴
九州大学歯学部 卒業
東京医科歯科大学歯学部付属病院口腔外科 勤務
中央区にて勤務
(2015年度日本の歯科100選 選出医院)
所属学会
日本顎咬合学会
日本歯周病学会
東京SJCD
日本歯科医師会
東京都歯科医師会
麻布赤坂歯科医師会
認定医
ノーベルバイオケアインプラント
I.T.Iストローマンイプラント
睡眠時無呼吸症候群スリープスプリント

歯は、単に「見た目を整えるためのもの」ではなく、食べる・話す・笑うといった日常を支える大切な臓器です。
1本の歯を失うことで噛み合わせやお顔のバランスが崩れ、やがて全身の健康にも影響を与えてしまうことがあります。

私たちは、虫歯や歯周病の予防から、失ってしまった歯の再建治療まで、あらゆる角度から“お口の健康=身体の健康”を支えることを使命としています。

治療では、まず患者様ご自身に現状を理解していただくことから始めます。
丁寧な説明と、納得していただいた上での治療こそが、本当の意味での「安心」につながるからです。

私はいつも、「自分の家族に施したい治療を、すべての患者様に」という想いで診療にあたっています。
セラミック治療においても、見た目の美しさだけでなく、10年、20年先の健康まで見据え、正確な型採りや噛み合わせの調整など、一つひとつの工程を丁寧に行うことを大切にしています。

これからも、患者様の笑顔と健康を守る“家族のような歯科医院”でありたいと願っています。

セラミック治療の流れ

ワンステップごとに丁寧かつこだわった処置を行うことで、適合精度が高く、審美性と機能性に優れたセラミック治療を目指します。

Step.01診査診断・治療計画

治療前に患者様が抱えている問題点や治療に対するご希望をヒアリングします。また、虫歯、歯周病、根尖病巣そして咬合の問題点を診断し、治療計画を立案します。治療の選択肢やそのメリット・デメリット、治療期間、治療にかかる費用のご説明をいたします。

Step.02基本治療

旧修復物を除去し、う蝕処置、歯周病治療または根管治療などの基本治療を行います。治療には高倍率の拡大鏡を用い、細部まで精密な治療を心掛けております。必要に応じて歯肉圧排(糸を歯周ポケットに挿入する処置)を行い、歯肉縁下の治療も丁寧におこないます。

Step.03支台歯形成・プロビジョナル
レストレーション

歯肉圧排下で丁寧に支台歯形成(土台の歯の形態修正)を行い、プロビジョナルレストレーション(最終形態を見据えた仮歯)を装着します。プロビジョナルレストレーションを使用することで、歯牙形態や咬合の確認、歯肉形態の調整を行います。

Step.04色調採得・歯肉圧排

作製するセラミック修復物が周辺の歯牙の色調と調和するよう、高画質カメラで撮影します。 また、印象採得(型取り)に際し、周辺の歯肉が印象材を阻害することなく忠実な型取りができるよう、必要に応じて歯肉圧排を行います。

Step.05印象採得

寸法変化の少ないシリコン印象材により精密な型取りを行います。事前に歯肉圧排を行うことで、歯周ポケットの形態まで忠実に写し取る事ができます。

Step.06完成・接着

完成したセラミック修復物の形態や咬合、色調を確認し、問題がなければ高品質レジンセメントにて接着します。その後、実際に使用していただき、咬合の再確認等を行いメンテナンスへ移行します。

料金とお支払い方法

セラミックインレー
e.max/ジルコニア
※保証期間3年
68,000円
セラミックアンレー
e.max/ジルコニア
※保証期間3年
80,000円
セラミックオーバーレイ
e.max/ジルコニア
※保証期間3年
96,000円
臼歯部セラミッククラウン
e.max/ジルコニア(ステイニング法)
※保証期間5年
138,000~
143,000円
前歯部セラミッククラウン
e.max/ジルコニア
(レイヤリング法 仮歯費用含む)
※保証期間5年
192,000円
前歯部セラミックラミネートベニア
e.max/ジルコニア(ステイニング)
※保証期間5年
180,000円

ぜひ一度、ご相談にお越しください
お見積もりは無料です

審美・セラミック治療なら 赤坂クレール歯科クリニック

東京都港区赤坂5丁目5-9
千代田線赤坂駅7番出口から徒歩2分

診療時間
9:30-13:00
14:00-20:00

※金曜日は18:00まで

初診WEB予約

電話で予約

現在、予約が取りにくくなっております。
web上で予約枠がなくても、お電話いただければできる限り調整させていただきます。
ご希望の時間枠が空いていない場合は一度お電話ください。

自由診療に関する表示

本治療は保険適用外の自由診療となります。
使用するセラミック材料(e.max、ジルコニアなど)は、日本国内で医療機器として承認された素材を使用しています。

費用について

治療内容や部位により費用が異なります。
詳しくはカウンセリング時にご説明いたします。

主なリスク・副作用

・噛み合わせや食いしばりにより、欠けたり割れたりすることがあります。
・治療後、一時的にしみる・違和感を感じることがあります。
・経年により、周囲の歯ぐきとの境目が変化する場合があります。

医薬品医療機器等法に基づく表記

本ページでご紹介する治療において、未承認医薬品・未承認医療機器の使用はありません。
使用する材料・機器はいずれも国内で承認されたものを使用しています。